古老的诅咒

2024年10月,世界卫生组织发布了最新的全球结核病报告。数据显示,2023年全球约有1080万人罹患结核病,125万人因此死亡。这个数字意味着,结核病重新成为全球头号传染病杀手——它夺走的生命超过了艾滋病和疟疾的总和。然而,这并非一个新兴的威胁。考古证据表明,结核病与人类的纠缠已经持续了至少七万年。

1907年,埃及考古学家在底比斯发现了一具特殊的新王国时期木乃伊。这具距今约3000年的遗骸,脊柱呈现出一种令人不寒而栗的畸形:多个胸椎椎体完全塌陷,形成锐利的后凸畸形,如同被一只无形的巨手从背后掐断。这是考古学史上首次确认的结核病骨骼证据——一种被称为"Pott病"的脊柱结核。当英国病理学家马克·鲁弗对这具木乃伊进行详细研究后,他在论文中写道:“这种疾病在法老时代的埃及就已经肆虐。”
随后的考古发现更加令人震惊。1994年,意大利研究人员对一具新石器时代的骨骼进行了分子分析,在距今约5000年的遗骸中检测到了结核分枝杆菌的DNA。2008年,一项发表在《自然遗传学》上的研究通过比较基因组学分析,揭示结核分枝杆菌的起源可以追溯到约7万年前的非洲。这意味着,当我们的祖先还在这片大陆上采集狩猎时,这个隐形的杀手就已经开始了它的狩猎。
古埃及人将这种疾病称为"懒病",希腊医生希波克拉底则称之为"痨病",意即"消耗"——因为患者会在漫长的病程中日渐消瘦,仿佛被某种神秘力量慢慢吞噬。在中国古代医典《黄帝内经》中,它被描述为"虚劳",是一种让人"形销骨立"的绝症。无论东方还是西方,数千年来,人类面对这个白色死神都束手无策。
入侵者
结核分枝杆菌是地球上最狡猾的病原体之一。在电子显微镜下,它呈现出一种独特的杆状形态,长度约2至4微米,宽度仅0.2至0.5微米。它的细胞壁富含脂质,这赋予了它一种奇特的特性:当大多数细菌在革兰氏染色中呈现紫色或红色时,结核分枝杆菌却能抵抗酸性酒精的脱色作用,保持原本的红色。这种"抗酸性"成为了诊断结核病的关键技术之一。
当一名活动性肺结核患者咳嗽、打喷嚏甚至说话时,他们会将含有结核菌的微小飞沫释放到空气中。这些飞沫直径仅为1至5微米,轻得足以在空气中飘浮数小时。一个未经治疗的活动性肺结核患者一年内可以感染10至15人。当这些飞沫被另一个人吸入后,它们会一路向下,穿过支气管树,最终抵达肺泡——肺部气体交换的最前线。
肺泡是人体呼吸系统的关键门户。在这里,氧气进入血液,二氧化碳被排出体外。但肺泡也是结核菌入侵的第一站。驻守在这里的是人体的第一道免疫防线——肺泡巨噬细胞。这些吞噬细胞就像巡逻的士兵,时刻扫描着入侵的病原体。当结核菌被识别后,巨噬细胞会伸出伪足将其包裹,形成一种被称为"吞噬体"的囊泡。
在正常情况下,吞噬体会在巨噬细胞内部与溶酶体融合,释放出一系列强效的消化酶和抗菌物质,将入侵者彻底分解。但结核分枝杆菌进化出了一套精妙的逃脱机制。它能够阻止吞噬体与溶酶体的融合,使吞噬体保持在一个相对"安全"的状态。同时,它还会改变吞噬体的内环境,使其更适合自己生存。
更令人惊讶的是,结核菌的细胞壁含有大量的分枝菌酸——一种蜡质的长链脂肪酸。这种特殊的脂质层不仅保护细菌免受宿主免疫系统的攻击,还使它们能够在干燥的环境中存活数周甚至数月。在研究中,科学家们发现结核菌可以在黑暗、干燥的环境中保持传染性长达6至8个月。这种顽强的生存能力,使它成为地球上最持久的病原体之一。
监狱的建造
当巨噬细胞意识到自己无法消灭入侵者时,它会释放一系列化学信号——细胞因子——呼叫援兵。这些信号分子像烽火一样传递着入侵的消息,吸引更多的免疫细胞前来增援。单核细胞、中性粒细胞、树突状细胞……一场大规模的免疫动员开始了。
在这场免疫反应的核心,有一种特殊的结构正在形成:肉芽肿。这是人体免疫系统对结核菌的终极防御工事,也是结核病最典型的病理特征。在显微镜下,肉芽肿呈现出一种同心圆般的多层结构:中央是结核菌感染的巨噬细胞,周围围绕着多层上皮样细胞和朗格汉斯巨细胞,最外层则是淋巴细胞和纤维组织。
上皮样细胞是肉芽肿中最独特的成员。它们由巨噬细胞转化而来,细胞质丰富,细胞边界不清,彼此紧密连接,形成一道"活体城墙"。朗格汉斯巨细胞则更加壮观——它们是由多个巨噬细胞融合而成的巨大细胞,直径可达50微米,拥有数十甚至上百个细胞核,排列成马蹄形或花环状。这些巨大的细胞被命名为纪念德国病理学家西奥多·朗格汉斯,他于1868年首次描述了这种独特的细胞形态。
肉芽肿的形成是人体免疫系统的一次"妥协"。当免疫系统无法彻底消灭结核菌时,它选择将这些入侵者囚禁起来,用一层层细胞构筑起一座"监狱"。在许多情况下,这种策略是成功的:结核菌被限制在肉芽肿内部,无法扩散到其他部位。患者可能完全不知道自己已经被感染,这种状态被称为"潜伏性结核感染"。
世界卫生组织估计,全球约有四分之一的人口感染了结核分枝杆菌,但其中只有约5%至10%的人会在一生中发展为活动性结核病。对于其余90%至95%的人来说,肉芽肿是成功的监狱,结核菌被永久囚禁,或者随着时间推移逐渐消亡。
但这座监狱并非坚不可摧。
潜伏的幽灵
结核分枝杆菌拥有一种令人胆寒的能力:潜伏。当环境不利于生存时——比如宿主的免疫系统正处于高度戒备状态——结核菌会进入一种"休眠"模式。它们停止分裂,大幅降低代谢活动,进入一种类似于冬眠的状态。在这种状态下,它们对大多数抗生素都不敏感,因为大多数抗生素都是针对活跃分裂的细菌起作用的。
科学家们发现,控制结核菌进入休眠状态的关键因素之一是氧气供应。当结核菌被囚禁在肉芽肿内部时,肉芽肿中央的区域往往处于缺氧状态。这种低氧环境会触发结核菌的一系列基因表达变化,使其进入休眠模式。其中最关键的基因之一被称为dosR——“持久性生存调节因子”。当dosR被激活后,结核菌会产生一系列蛋白质,帮助它们在恶劣环境中生存。
更令人不安的是,休眠的结核菌可以在人体内存活数十年。2016年发表在《自然》杂志上的一项研究追踪了加拿大因纽特人群中结核菌的传播模式,发现一些菌株可以在人体内潜伏长达70年之久。这意味着,一个人可能在童年时期被感染,在七八十岁时才发展为活动性结核病。
什么因素会触发潜伏性结核"复活"?免疫功能下降是最常见的原因。当免疫系统因为各种原因被削弱时——营养不良、糖尿病、肾衰竭、癌症化疗,或者最可怕的HIV感染——那些沉睡的细菌会苏醒过来,开始疯狂繁殖。HIV与结核病的联合被认为是医学史上最致命的"双重感染"之一。HIV病毒会特异性地攻击CD4+T细胞,而CD4+T细胞正是控制结核感染的关键免疫细胞。当CD4+T细胞数量下降到一定程度时,潜伏性结核发展为活动性结核的风险会急剧上升。据估计,HIV阳性者患活动性结核病的风险是HIV阴性者的15至21倍。
肉芽肿内部的结核菌也在不断尝试"越狱"。它们会分泌一系列酶类,试图消化周围的组织。当肉芽肿中央的组织被消化后,会形成一种干酪样的坏死物质——医学上称为"干酪样坏死"。在显微镜下,这些坏死区域呈现为无结构的粉红色颗粒状物质,完全失去了正常的细胞形态。
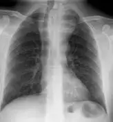
如果肉芽肿破裂,结核菌就会逃入周围组织,甚至进入血液循环。这就是所谓的"血行播散",可以导致全身多器官的结核感染。在X光片上,这种广泛播散的结核病灶呈现出无数细小的点状阴影,如同撒在肺部的粟粒,因此被称为"粟粒性结核"。在抗生素出现之前,粟粒性结核几乎百分之百致命。

浪漫的死亡
在19世纪的欧洲,结核病获得了一个奇怪的文化地位。它被称为"白色瘟疫"或"浪漫病",被赋予了一种近乎美学的光环。维多利亚时代的人们相信,结核病患者会因为持续的发热和消瘦而获得一种超凡脱俗的美:苍白的皮肤、明亮的眼睛、纤细的身材、红润的面颊——这些都是结核病的典型症状,却被解读为高贵和敏感的象征。
英国诗人约翰·济慈是这种"浪漫病"最著名的受害者之一。1818年,年仅23岁的济慈开始出现结核病的症状:夜间盗汗、咳血、日渐消瘦。他在给朋友的信中写道:“我的血液中流着一种缓慢的毒药。“济慈于1821年在罗马去世,年仅25岁。他生命最后几个月的遭遇,成为了浪漫主义文学中最动人的篇章之一。
波兰作曲家弗雷德里克·肖邦同样死于结核病。他的肺结核症状始于青少年时期,此后一生都在与这个疾病抗争。肖邦的音乐被同时代人描述为"消瘦的旋律”,充满了一种脆弱而深刻的美感。1849年,39岁的肖邦在巴黎去世,尸检显示他的肺部几乎完全被结核病变摧毁。
这种将结核病浪漫化的文化现象在20世纪被彻底终结了。随着细菌学和医学的发展,人们开始认识到结核病的真实面目:它不是高贵灵魂的标志,而是一种可怕的传染病,会导致患者的肺部被一个个空洞侵蚀,最终在痛苦的咳血中走向死亡。
但结核病的文化影响远不止于此。德国作家弗朗茨·卡夫卡死于结核病,他的作品《变形记》中主人公格里高尔的遭遇,某种程度上折射了结核病患者被社会抛弃的处境。英国作家乔治·奥威尔同样患有肺结核,他在创作《1984》时已经病入膏肓,1950年去世时年仅46岁。美国的埃莉诺·罗斯福夫人,这位前第一夫人在1962年死于粟粒性结核,她的去世震惊了全世界。
工业革命的温床
结核病在人类历史上有过多次大规模爆发,但最严重的一次发生在18世纪和19世纪的工业革命时期。这一时期,欧洲和北美的城市正在经历前所未有的扩张。农村人口大量涌入城市,在工厂中寻找工作机会。但他们面临的是拥挤不堪的贫民窟、恶劣的卫生条件和超长的工作时间。
伦敦是这场结核病风暴的中心。1850年代,这座城市的人口已经超过250万,成为世界上最大的城市。在东区贫民窟,一个房间往往挤着十几个甚至二十个人。窗户常年紧闭,新鲜空气成为一种奢侈品。在这样的环境中,结核菌找到了完美的传播条件。
英国医生威廉·巴德在1850年代对结核病的传播进行了详细研究。他发现,在贫困人群中,结核病的死亡率是富裕人群的2至3倍。他写道:“这种疾病与贫穷有着密不可分的联系,而贫穷与拥挤的住房又紧密相连。“巴德的观察揭示了结核病的一个关键特征:它是一种"社会性疾病”,其传播与生活条件密切相关。
在美国,结核病同样肆虐。19世纪末,结核病是美国最常见的死亡原因之一,每年夺走近10万人的生命。在纽约市的贫民窟,结核病的死亡率是富裕街区的5倍以上。作家斯蒂芬·史密斯在《城市贫民的敌人》一书中写道:“在那些黑暗、潮湿、不通风的房间里,结核菌像幽灵一样徘徊,收割着一个又一个生命。”
工业革命不仅带来了城市的扩张和工人的聚集,还创造了另一种有利于结核病传播的条件:工厂。在棉纺厂、制衣厂和其他封闭的工作环境中,工人们每天在充满灰尘和纤维的空气中工作12至14个小时。这些灰尘会损伤肺部,使工人更容易感染结核病。历史学家估计,在19世纪的英国,纺织工人死于结核病的比例是农民的2倍以上。
童工是这场灾难中最悲惨的受害者。在19世纪的英国,年仅6岁的儿童就被送进工厂工作。他们瘦小的身体更容易受到结核菌的攻击,而恶劣的工作环境更加剧了这一风险。一位19世纪的医生在描述童工的健康状况时写道:“他们的脸色苍白如纸,身形消瘦如柴,每一次咳嗽都像是在吐出他们的生命。”
寻找杀手

在数千年的历史中,人类一直不知道结核病的真正原因。有人认为它是遗传性疾病,有人认为它与"坏空气"有关,还有人认为它是道德堕落的结果。直到1882年,这个谜团才被一个德国医生解开。
罗伯特·科赫是一位乡村医生出身的微生物学家。在19世纪末的德国,他已经开始因发现炭疽杆菌而小有名气。但科赫的目标更大:他想找到结核病的病原体。这是一个艰巨的挑战。结核菌比炭疽杆菌小得多,而且生长极其缓慢。在实验室中,大多数细菌会在24小时内形成可见的菌落,而结核菌需要数周时间才能长出肉眼可见的痕迹。
科赫在柏林的一个简陋实验室里开始了他的研究。他发明了一系列创新的染色技术,试图在显微镜下观察到这种隐秘的细菌。1882年3月24日,科赫在柏林生理学会上宣布了他的发现:他不仅观察到了结核菌,还成功地培养出了纯种的结核菌落。这一发现震惊了整个医学界。
科赫在报告中描述了结核菌的特征:细长的杆状细菌,在特定的染色条件下呈现出红色。他证明了这种细菌存在于所有结核病患者的病变组织中,而且可以从患者体内分离出来,感染实验动物,产生相同的疾病。这满足了科赫本人提出的"科赫法则”,成为确立病原菌的金标准。
科赫的发现在医学史上具有里程碑意义。它不仅确定了结核病的病因,还开创了现代医学细菌学的新时代。1905年,科赫因这一贡献获得了诺贝尔生理学或医学奖。今天,每年的3月24日被定为"世界防治结核病日”,正是为了纪念科赫的这一伟大发现。
但科赫的研究并非没有争议。1890年,他宣布发现了一种能够治疗结核病的物质——“结核菌素”。这在全世界引发了轰动,无数患者涌向柏林,希望接受这种"神奇药物"的治疗。然而,结核菌素最终被证明不仅无效,甚至可能对某些患者有害。科赫的声誉受到了严重打击,但他的基础研究贡献仍然被后世铭记。

疗养院时代
在抗生素出现之前,结核病的治疗主要依赖于一种看似原始却有一定效果的方法:休息。1854年,德国医生赫尔曼·布雷默首次提出了"疗养院治疗"的概念。他认为,清新的空气、充足的营养和绝对的休息可以帮助结核病患者恢复健康。布雷默自己在年轻时患有结核病,他声称正是通过这种方式治愈了自己。
疗养院运动迅速传播到欧洲和北美。在瑞士的阿尔卑斯山区、美国的阿迪朗达克山脉,一座座结核病疗养院拔地而起。这些疗养院通常建在高海拔地区,因为当时的人们相信稀薄的空气和大量的阳光对结核病患者有益。患者被要求每天在户外静卧数小时,即使在寒冷的冬天也不例外。
美国医生爱德华·特鲁多是疗养院运动的领军人物之一。1884年,他在纽约州的萨拉纳克湖建立了美国第一家结核病疗养院。特鲁多的理念是:“休息、营养、空气——这是结核病治疗的三大支柱。“他的疗养院成为全球结核病治疗的典范,吸引了来自世界各地的患者和医生。
疗养院的治疗方式在今天看来可能有些原始,但在当时确实挽救了许多生命。虽然疗养院无法直接杀死结核菌,但充足的休息和营养可以增强患者的免疫系统,帮助他们更好地抵抗感染。研究显示,在疗养院接受治疗的患者,生存率确实高于在家治疗的患者。
但疗养院治疗也有其黑暗的一面。患者往往被隔离数月甚至数年,与家人和社会完全断绝联系。许多疗养院实行严格的管理制度,患者的日常活动被精确到分钟。一些疗养院甚至采用极端的治疗方法,如人工气胸——将空气注入胸腔,使患病一侧的肺萎陷,希望借此让结核菌"窒息"而死。
疗养院时代留下了一些有趣的遗产。在美国科罗拉多州的科罗拉多斯普林斯,至今仍保留着一些被称为"结核小屋"的建筑。这些狭小的单间小屋曾经是结核病患者的住所,他们在这里度过了生命的最后几年。如今,这些小屋已经成为历史遗迹,提醒着人们那个没有抗生素的黑暗时代。

土壤中的奇迹
结核病治疗的真正转折点出现在20世纪中叶。1943年,在罗格斯大学的一个土壤微生物实验室里,一位名叫阿尔伯特·沙茨的研究生发现了一种改变历史的物质。
沙茨当时正在研究土壤中的放线菌,希望找到能够杀死细菌的物质。他在培养皿中筛选了数千种土壤细菌,最终在一个来自鸡咽喉的样本中发现了灰色链霉菌。这种细菌能够分泌一种物质,对多种细菌具有杀灭作用——其中包括结核分枝杆菌。这种物质被命名为"链霉素”。
沙茨的导师塞尔曼·瓦克斯曼迅速意识到了这一发现的重要性。1944年,链霉素首次被用于治疗一名垂死的结核病患者——一位名叫帕特里夏的21岁女性。经过几个月的治疗,帕特里夏奇迹般地康复了。这是人类历史上第一次能够用药物治愈结核病。
链霉素的发现开启了一个全新的时代。1952年,另一种抗结核药物异烟肼被发现。这种药物能够特异性地抑制结核菌细胞壁的合成,对结核菌具有强大的杀灭作用。更重要的是,异烟肼的价格低廉、副作用相对较小,使其成为全球结核病控制的核心药物。
利福平的发现是抗结核药物发展史上的又一个里程碑。1963年,意大利研究人员从一种土壤细菌中分离出这种药物。利福平不仅对结核菌有效,而且能够在短时间内大量杀灭细菌,大大缩短了治疗时间。
但这些药物的使用并非一帆风顺。医生们很快发现,如果单独使用一种抗结核药物,结核菌很快就会产生耐药性。结核菌的基因组突变率较高,在数百万个细菌中,总会有少数个体偶然获得了耐药突变。当其他细菌被药物杀死后,这些耐药菌株就会大量繁殖,导致治疗失败。
为了解决这一问题,医生们开发了"联合化疗"方案:同时使用多种抗结核药物,使结核菌难以同时对所有药物产生耐药性。标准的结核病治疗方案包括四种药物:异烟肼、利福平、吡嗪酰胺和乙胺丁醇。患者需要每天服用这些药物,持续6个月。这种治疗方案虽然繁琐,但治愈率可达95%以上。
疫苗的争议
在抗生素出现之前,人类就开始尝试用疫苗来预防结核病。1921年,法国巴斯德研究所的阿尔伯特·卡尔梅特和卡米尔·介朗宣布,他们开发出了一种结核病疫苗。
这种疫苗被称为"卡介苗”,是以两位发明者的名字命名的。它源自一种牛结核分枝杆菌,经过13年、230次连续传代培养后,毒力大大降低,不再能够引起疾病,但仍能激发人体的免疫反应。1921年7月18日,一名母亲死于结核病的新生儿成为卡介苗的首位接种者。这个婴儿健康成长,没有感染结核病。
卡介苗很快在全球推广。到1960年代,许多国家将卡介苗纳入儿童常规免疫计划。在一些结核病高发国家,几乎所有新生儿在出生后都会接种卡介苗。世界卫生组织估计,全球已有超过40亿人接种了卡介苗。
但卡介苗的历史并非一帆风顺。1930年,德国吕贝克市发生了一场可怕的灾难。251名新生儿接种了一批被结核菌污染的卡介苗,其中72人死于结核病。调查发现,这是由于实验室操作不当,导致卡介苗被一种强毒力的结核菌株污染。这场灾难严重打击了公众对卡介苗的信心,一些国家暂停了卡介苗接种计划。
卡介苗的有效性也一直存在争议。不同地区的研究得出了截然不同的结果:在英国和北美,卡介苗的保护效率高达80%;而在印度和非洲的一些地区,保护效率却接近于零。科学家们后来发现,这种差异可能与环境因素有关——在一些热带地区,人群经常暴露于环境中的非结核分枝杆菌,这些细菌与卡介苗存在交叉反应,可能削弱疫苗的效果。
尽管存在争议,卡介苗仍然是全球使用最广泛的疫苗之一。它是目前唯一被批准用于预防结核病的疫苗,对预防儿童重症结核——如结核性脑膜炎和粟粒性结核——具有明确效果。但卡介苗对成人肺结核的保护力有限,这正是科学家们今天仍在努力研发新型结核病疫苗的原因。
耐药的噩梦
就在人类以为结核病即将被征服的时候,一个新的威胁出现了:耐药结核。
第一种耐药情况出现于链霉素投入使用后不久。医生们发现,一些患者在治疗初期病情有所好转,但随后病情恶化,结核菌对链霉素产生了耐药性。这促使医学界发展出联合用药策略,但耐药问题并未消失,只是变得更加复杂。
多重耐药结核是指结核菌同时对异烟肼和利福平这两种最有效的一线药物产生耐药性。治疗这种结核病需要使用二线药物,这些药物效果较差、副作用更大、价格更高、疗程更长。治疗一例普通结核病的费用约为20美元,而治疗一例多重耐药结核的费用可能高达数千甚至数万美元。
2006年,一种更加可怕的耐药类型在南非被发现:广泛耐药结核。这种结核菌不仅对一线药物耐药,还对大多数二线药物也产生了耐药性。广泛耐药结核几乎无药可治,死亡率接近100%。
世界卫生组织的数据显示,2023年全球约有41万例新发的耐利福平结核病例,其中约10%为多重耐药结核。这些病例主要集中在几个国家:印度、中国、俄罗斯、印度尼西亚和巴基斯坦。在这些国家,结核病控制体系面临巨大压力。
耐药结核的产生有多种原因。最常见的是治疗不规范。如果患者没有完成完整的治疗疗程,或者服用的药物质量不合格,结核菌就有机会在低浓度的药物环境中存活并产生耐药突变。在一些结核病高发国家,抗结核药物可以在药店随意购买,导致许多患者自行服药,不规范治疗。
另一个重要原因是医疗系统的缺陷。诊断结核病需要进行痰液检查,但许多低收入国家缺乏足够的实验室设施。患者可能在没有确诊的情况下被给予抗结核药物,或者被给予错误的药物组合。这些都会增加耐药风险。
2022年,世界卫生组织发布了新的耐药结核病治疗指南,推荐使用一种名为"贝达喹啉"的新型药物作为核心治疗方案的一部分。贝达喹啉是近40年来首个获得批准的新型抗结核药物,为耐药结核病患者带来了新的希望。但这种药物价格昂贵,在全球范围内的可及性仍然有限。
永恒的博弈
结核病的历史是一部人类与疾病的永恒博弈史。从70000年前的非洲到21世纪的全球,这个隐形的杀手始终与人类相伴。
2019年,COVID-19大流行席卷全球,对结核病控制工作造成了严重冲击。世界卫生组织估计,2020年和2021年,全球结核病诊断和报告数量大幅下降,数百万结核病患者未能获得及时诊断和治疗。这可能导致未来数年内结核病死亡人数增加。
但人类并未放弃。新型诊断技术正在不断涌现。基因测序技术可以在数小时内检测出结核菌并确定其耐药性,大大缩短了诊断时间。新型药物和疫苗正在研发中,科学家们希望找到更有效、更短疗程的治疗方案。
2023年,世界卫生组织启动了新的全球结核病战略,目标是在2030年前将结核病发病率降低80%,将结核病死亡人数减少90%。这是一个雄心勃勃的目标,需要全球各国的共同努力。
结核菌已经在地球上生存了数百万年。它进化出了令人惊叹的生存策略:潜伏、耐药、免疫逃逸。这个微小的细菌没有大脑,没有意识,却在与人类的博弈中展现出了近乎智慧的生存能力。
在显微镜下,结核分枝杆菌不过是一根微小的杆状物。但正是这根看不见的杆菌,在人类历史上留下了最深的伤痕。它杀死了诗人、作曲家、作家和政治家;它推动了细菌学和免疫学的发展;它揭示了社会不平等与疾病之间的深刻联系。
这场跨越万年的博弈还在继续。人类已经取得了巨大的进步,但距离最终胜利还很遥远。只要这个白色死神仍在地球上徘徊,我们就不能放松警惕。因为历史已经证明,当我们低估这个对手时,它总是会卷土重来。
参考资料
- World Health Organization. Global Tuberculosis Report 2024. Geneva: WHO; 2024.
- Stone AC, Krause-Kyora B. The origin and evolution of tuberculosis. Nat Rev Microbiol. 2023;21(9):571-585.
- Ruffer MA. On pathological findings in mummies of ancient Egypt. J Pathol Bacteriol. 1921;24(2):242-248.
- Koch R. Die Ätiologie der Tuberkulose. Berlin Klin Wochenschr. 1882;19:221-230.
- Flynn JL, Chan J. Tuberculosis: latency and reactivation. Infect Immun. 2001;69(7):4195-4201.
- Daniel TM. The history of tuberculosis. Respir Med. 2006;100(11):1862-1870.
- Schatz A, Bugie E, Waksman SA. Streptomycin, a substance exhibiting antibiotic activity against gram-positive and gram-negative bacteria. Proc Soc Exp Biol Med. 1944;55(1):66-69.
- Calmette A, Guérin C. Origine et développement de la vaccination préventive contre la tuberculose. Ann Inst Pasteur. 1924;38:335-350.
- Dheda K, Gumbo T, Maartens G, et al. The epidemiology, pathogenesis, transmission, diagnosis, and management of multidrug-resistant, extensively drug-resistant, and incurable tuberculosis. Lancet Respir Med. 2017;5(4):291-360.
- Comas I, Coscolla M, Luo T, et al. Out-of-Africa migration and Neolithic coexpansion of Mycobacterium tuberculosis. Nat Genet. 2013;45(10):1176-1182.
- Barber DL, Mayer-Barber KD, Feng CG, et al. CD4 T cells promote rather than control TB disease. Nature. 2011;470(7334):94-98.
- Lübeck disaster. Wikipedia. https://en.wikipedia.org/wiki/L%C3%BCbeck_disaster
- Reid MJA, Arinaminpathy N, Bloom A, et al. Building a tuberculosis-free world: The Lancet Commission on tuberculosis. Lancet. 2019;393(10178):1331-1384.